
В мире цифровых изображений всем знаком термин «пиксель» (pixel) – минимальный элемент двумерной картинки, маленький квадрат, обладающий пространственной координатой X и Y и характеристиками, как цвет или яркость. В трёхмерном пространстве роль пикселя принимает на себя воксель.
Воксель (от англ. «volume» – объемный и «pixel» – пиксель) – это минимальный неделимый объем трехмерного изображения. Если пиксель описывает точку на плоскости, то воксель описывает куб в объеме, обладающий не только координатами X и Y, но и координатой Z (глубиной).
Воксель помогает превратить результаты сканирования в оцифрованное трехмерное изображение реальных объектов, которые можно изучать и анализировать с высокой точностью в каждой точке объема.
Ключевой параметр воксельной модели – это шаг дискретизации – это физический размер одного вокселя (кубика) трех осей (X, Y, Z). Обычно он выражается в миллиметрах (мм) или микрометрах (мкм) и часто является кубическим (например, воксель 1 мм × 1 мм × 1 мм). Чем меньше шаг дискретизации, тем точнее наша цифровая модель воспроизводит реальный объект. В компьютерной томографии это называется «толщина среза».
Разрешение – это общее количество вокселей по каждой из осей, из которых состоит модель. Если шаг дискретизации – это размер кирпичика, то разрешение – это сколько таких кирпичиков умещается в длину, ширину и высоту модели. Чем выше разрешение, тем больше деталей мы можем разглядеть и тем точнее можем проводить измерения.
1. Детализация и «лестничный эффект»
При низком разрежении края объектов выглядят угловатыми, ступенчатыми. Это похоже на пикселизацию в старых играх, но уже в 3D. Чем меньше шаг дискретизации, тем сглаженнее и точнее выглядят поверхности.
2. Точность измерений
Если мы говорим о том, что воксели – это способ воспроизведения «отсканированной» информации, то результат, как правило, можно измерять. Все измерения в воксельной модели (размеры, объемы, зазоры) привязаны к сетке вокселей. Погрешность измерения может зависеть от шага дискретизации. Это связано с тем, что шаг дискретизации влияет на точность восстановления непрерывного сигнала по дискретным отсчётам.
3. Возможность анализа
В случае неправильного выбора оборудования для построения 3D модели, мелкие дефекты (трещины, поры) просто «не поместятся» в сетку крупных вокселей. Они будут пропущены или искажены.
Материаловедение и промышленный контроль
Рентгеновский аппарат и детектор делают не просто «фото», а сканируют объект срез за срезом, а затем компьютер преобразует эти данные в трехмерную модель, состоящую из миллионов вокселей. Томографы используют для изучения внутренней структуры материала объектов, поиска дефектов, отработки опытных образцов и экспериментальных деталей и технологий при их разработке в конструкторских бюро.
Медицина
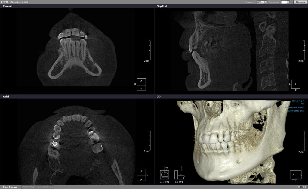
Каждый воксель содержит информацию не только о местоположении, но и о плотности ткани (для КТ) или о типе сигнала (для МРТ). Это позволяет врачу не просто увидеть орган, а анализировать его структуру, находить патологии, точно планировать операции и проводить виртуальные исследования.
Геология и сейсморазведка
Воксельные модели используются для построения трехмерных карт земных недр, помогая находить месторождения нефти и газа. Чтобы нефтегазовое месторождение давало как можно больше нефти и газа, нужно изучить его как можно более подробно, а изучив, построить для него гидродинамическую модель. Чтобы описать то, что при этом происходит, необходимо учитывать характеристики вмещающих пород. Образец керна исследуют на рентгеновском томографе и получают модель, на которой решается задача течения в трехмерном пространстве пористых сред.

Компьютерная графика и виртуальная реальность
Для создания максимально реалистичных облаков, дыма, огня, воды и других объемных эффектов в играх и кино часто используется воксельная графика. Она позволяет точно симулировать поведение и освещение этих сложных сред. Если полигональные модели описывают геометрию поверхности, то воксели описывают сущность и свойства всего объема.
Ограничения воксельного моделирования
Информативность вокселей имеет свою цену. Главное ограничение – «аппетит» к памяти. В реальных проектах, где нужна точность, требуются десятки гигабайтов оперативной память и места на диске, что упирается в бюджет и возможности ПК.
Вторая проблема – компромисс между детализацией и производительностью. Увеличиваешь размер вокселя – получаешь «кирпичную» кладку вместо гладкой поверхности (эффект пикселизации в 3D). Уменьшаешь – увеличивается время сканирования и реконструкции изображения.
С третьей проблемой сталкиваются те, кто создает объекты в трехмерном пространстве. Эта задача достаточная сложная: «вырезать» фигуру из цельного блока данных часто сложнее, чем работать с пикселями или полигональной сетью, а анимация объекта станет сложной задачей не только для оператора, но и для ПК.
Введите ваше Имя и Фамилию:
Отправитьили
Войдите, чтобы оставить комментарий